Topics

− 米国科学雑誌「Journal of Biological Chemistry」において研究成果を発表 −
視覚病態プロジェクトの行方和彦 副参事研究員、新井信隆 神経病理解析室長、原田高幸 参事研究員らは「DOCK8が神経変性を制御する仕組み」について米国科学雑誌「Journal of Biological Chemistry」
に発表しました。
多発性硬化症などの神経炎症を伴う疾患の治療においては、免疫細胞の活性を抑制することが重要です。DOCK8と呼ばれるタンパク質は免疫細胞に強く発現していて、DOCK8遺伝子に異常がある人は重度のアレルギー症状を示すことが報告されています。しかし、 DOCK8と神経炎症の関係はよくわかっていませんでした。
そこでDOCK8を欠損した遺伝子改変マウスを利用して、多発性硬化症の疾患モデルを作製し、神経炎症の症状を調べました。その結果、DOCK8欠損マウスでは野生型マウスに比べて、脊髄炎による肢体麻痺が顕著に軽症化することがわかりました(図1)。多発性硬化症の初発症状として、約20%の患者において、視神経の炎症(視神経炎)が観察されます。DOCK8欠損マウスに多発性硬化症を発症させると、視神経の炎症や網膜神経細胞死が抑制され、視機能も維持されることがわかりました。また多発性硬化症患者の脳の病巣部には、DOCK8を発現した「ミクログリア」が多数集積していることも確認されました(図2)。
図1:DOCK8欠損マウスにおける脊髄炎スコアの軽症化
DOCK8欠損マウスの多発性硬化症モデル(赤線)では、野生型マウス(黒線)と比較して大きく軽症化することがわかる。
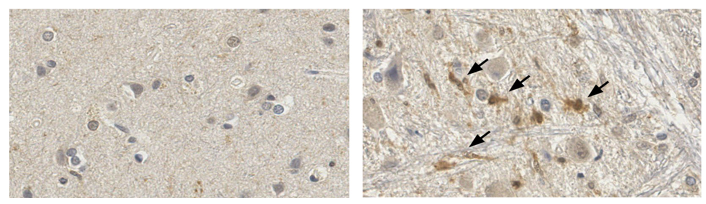
図2:多発性硬化症患者の脳病変部位に観察されたDOCK8陽性ミクログリア
正常脳組織(左)には見られないDOCK8陽性ミクログリア(矢印)が病巣部(右)では多数観察された。
このミクログリアと呼ばれる細胞は神経組織に存在する免疫細胞ですが、DOCK8欠損マウスでは野生型マウスに比べて、多発性硬化症モデルにおけるミクログリアの活性化や増殖が抑制されていました。またDOCK8欠損マウスから取り出した培養ミクログリア細胞を調べたところ、細胞の遊走性が野生型ミクログリアよりも低下していることを発見しました(図3)。
一方、ミクログリアは周囲の細胞を貪食する機能(貪食能)を持つことが知られています。そこで次に緑内障の疾患モデルでもある、視神経に損傷を受けたマウスを作成したところ、野生型マウスの網膜では活性化したミクログリアが網膜神経細胞を貪食しますが(図4)、DOCK8欠損マウスではこうした貪食中のミクログリア細胞数も有意に低下していました。
図3:DOCK8欠損ミクログリアにおける遊走能の低下
ATP依存性に小さな孔のあいた膜を透過したミクログリア(紫色)の細胞数を調べた。DOCK8欠損ミクログリア(右下)では野生型ミクログリア(左下)と比較して、遊走性が大きく低下していた。
図4:視神経損傷後のマウス網膜で観察された貪食中のミクログリア
視神経損傷の5日後に観察された網膜中のミクログリア(赤)。視神経損傷によって活性化したミクログリアが網膜神経節細胞(青)を貪食している状態が捉えられた。
多発性硬化症には完全な治療法がなく、その再発も問題になっています。今回の結果は、DOCK8がミクログリアの活性を促進して、脳脊髄や視神経における炎症症状や変性を悪化させる可能性を示しています。したがって今後はDOCK8の活性を抑制する薬剤等を開発することによって、神経炎症性疾患の治療や再発抑制に役立つことが期待されます。